3분 읽기
- 케토 다이어트는 단기적인 체중 감량에만 도움
- 장기적인 케토제닉 식단은 대사 지표에 여러 가지 부정적인 변화를 초래
- 뇌전증 치료를 위해 장기간 케토제닉 식단을 따르는 환자들이 심혈관 질환, 고지혈증, 췌장염을 더 자주 겪는다는 보고와 일치
케토 다이어트(Ketogenic diet)는 실제로 얼마나 건강할까?
케토제닉 다이어트는 체중 감량에 적합하지 않으며 장기적인 영향을 미친다.
의심스러운 식단:
일부 사람들은 지방 함량이 높고 탄수화물 함량이 낮은 케토제닉 다이어트가 체중 감량에 도움이 될 것이라고 기대한다. 그러나 쥐를 대상으로 한 연구에 따르면 케토 다이어트는 단기적인 체중 감량에만 도움이 된다. 장기적으로는 체중과 신진대사에 부정적인 영향을 미친다. 따라서 케토제닉 다이어트는 건강에 도움이 되기보다는 오히려 해로울 수 있다.
 |
| ▲ 케토제닉 다이어트에서는 칼로리의 약 90%가 지방에서 나와야 한다. |
독일 영양학회는 건강한 성인이 에너지 필요량의 최소 절반을 탄수화물로 섭취할 것을 권장한다. 반면 케토제닉 다이어트는 칼로리의 약 90%를 지방에서 섭취해야 한다. 이러한 고지방 저탄수화물 식단은 신체를 케토시스 상태로 만들어 탄수화물보다 지방에서 에너지를 우선적으로 얻는다고 한다.
논란의 여지가 있는 고지방 식단이 식단은 뇌전증 환자의 발작을 줄이는 데 도움이 될 수 있다. 케토제닉 다이어트는 체중 감량이나 당뇨병 치료에도 권장되는 경우가 있다. 하지만 실제로 효과가 있는지, 그리고 얼마나 효과적인지는 아직 불분명하다. 건강에 미치는 영향에 관한 이전 연구 결과는 상반된다.
고지방 식단은 신체적, 정신적 건강을 유지하는 데 도움이 된다는 주장이 있는 반면, 뇌와 근육에 부정적인 영향을 미친다는 주장도 있다. 또한 케토 다이어트가 남성과 여성에게 미치는 효과가 다르다는 증거도 있다. 솔트레이크시티 유타대학교의 몰리 갤럽(Molly Gallop)이 이끄는 연구팀은 "케토 다이어트가 대사 건강에 미치는 장기적인 영향은 아직 충분히 연구되지 않았다"고 경고했다.
갤럽과 동료들은 쥐를 대상으로 장기 케토제닉 다이어트가 신체에 미치는 영향을 시험했다. 연구진은 쥐를 네 그룹으로 나누었다. 첫 번째 그룹은 거의 1년 동안 고지방, 저탄수화물 케토제닉 다이어트(KD)를 받았다. 정기적인 혈액 검사를 통해 이 그룹들이 실제로 케토시스 상태에 있음을 확인했다.
두 번째 그룹은 칼로리의 60%가 지방에서 유래하는 고지방 식단(HFD)을 섭취했다. 이 식단은 일반적으로 비만 생쥐를 만드는 데 사용된다. 다른 두 그룹은 칼로리의 10%만 지방에서 유래하는 저지방 식단(LF)을 섭취했다. 모든 그룹에서 생쥐는 각 식단의 섭취량을 스스로 결정할 수 있었다.
 |
| ▲ 각각 28주와 33주 동안 케토 식단을 섭취한 수컷(위)과 암컷(아래) 마우스의 대표 조직 이미지. 스케일 바: 20마이크로미터. © Molly R. Gallop |
단기간 체중 감소만연구 결과, 60% 지방 식단을 섭취한 생쥐는 예상대로 체중이 빠르게 증가한 반면, 케토 식단을 섭취한 생쥐는 저지방 식단을 섭취한 생쥐와 유사하게 처음 몇 주 동안 체중을 유지하거나 약간 감소시킬 수 있었다. 따라서 케토 식단은 초기에는 체중 감량에 도움이 되었던 것이다.
그러나 이것이 어느 정도 케토시스 때문인지는 아직 불분명하다. 연구팀은 "이러한 차이는 케토 식단을 섭취한 생쥐가 60% 지방 식단을 섭취한 생쥐보다 자연적으로 적게 먹었다는 사실로 적어도 부분적으로 설명할 수 있다"고 설명했다.
약 10주 후, 상황은 반전되었다. 케토 식단을 섭취한 생쥐도 체중이 증가하기 시작했다. 그 후 몇 달 동안, 케토제닉 식단을 섭취한 쥐들은 60% 지방 식단을 섭취한 쥐들만큼 체중이 증가하지는 않았지만, 체지방률은 비슷한 수준에 도달했다. 갤럽과 그녀의 연구팀은 "케토제닉 식단은 장기적인 체중 감소로 이어지지 않았으므로 비만을 예방하는 방법으로 간주되어서는 안 된다”고 기술했다.
 |
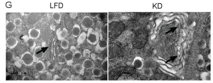
| ▲ 췌장 베타 세포의 전자현미경 사진은 케토 식단 중 골지체 확장을 보여준다. © Molly R. Gallop |
부작용: 대사 문제게다가, 케토제닉 식단을 섭취한 쥐들은 당 대사 장애 징후를 보였다. 연구팀은 "케토제닉 식단을 오래 섭취할수록 포도당 불내증과 인슐린 분비 장애가 더 심해졌다"고 보고했다. 정상적으로 인슐린 분비를 담당하는 췌장의 췌도 세포가 케토제닉 식단으로 인해 심하게 손상되어 인슐린을 거의 생성하지 못했다. 결과적으로 케토제닉 식단을 섭취한 쥐들은 인슐린에 더욱 민감해졌다. 반면, 60% 지방 식단을 섭취한 쥐들은 정반대의 현상이 나타났다. 체중이 증가함에 따라 당뇨병의 특징인 인슐린 저항성이 나타났다.
연구진은 다른 지표들을 살펴보면서 케토제닉 마우스에서 지질 대사 문제가 증가하는 것을 관찰했다. 케토제닉 마우스는 콜레스테롤 수치가 상당히 높았는데, 이는 인간에게서 심혈관 질환 등과 관련이 있다. 또한, 몇 달 안에 지방간이 발생했다.
이 연구는 인간에 대해 무엇을 시사하는가?마우스에서 얻은 결과를 인간에게 직접 적용할 수는 없다. 그러나 이는 뇌전증 치료를 위해 장기간 케토제닉 식단을 따르는 환자들이 심혈관 질환, 고지혈증, 췌장염을 더 자주 겪는다는 보고와 일치한다.
연구진은 "이러한 결과를 종합해 볼 때, 장기적인 케토제닉 식단은 대사 지표에 여러 가지 부정적인 변화를 초래하며, 건강을 증진하는 영양 중재로서 체계적으로 활용되는 것에 의문을 제기한다"고 결론지었다.
참고: Science Advances, 2025; doi: 10.1126/sciadv.adx2752
출처: American Association for the Advancement of Science (AAAS)
[더사이언스플러스=문광주 기자]
[저작권자ⓒ the SCIENCE plus. 무단전재-재배포 금지]