5분 읽기
- 감기는 대개 리노바이러스(Rhinovirus) 감염으로 인해 발생
- 리노바이러스는 인후통, 콧물, 기침 등 전형적인 감기 증상을 유발
- 리노바이러스 감염에 대한 반응으로 비강 점막 세포가 인터페론을 생성한다는 사실 발견
- 바이러스 자체의 특성이 아니라 바이러스에 대한 신체의 반응이 감기 발병 여부와 질병의 심각도를 결정
우리 코는 어떻게 감기를 예방할까요?
코점막이 리노바이러스 감염 증상을 결정한다.
코의 방어:
새로운 연구에 따르면 코점막의 세포들은 긴밀하게 협력해 감기 바이러스 감염으로부터 우리를 적극적으로 보호한다. 이 연구는 코의 이러한 방어 메커니즘이 얼마나 효과적인지가 감기 증상의 발병 여부를 결정한다고 밝혔다. 즉, 코의 방어 체계가 감기 증상의 종류와 심각도를 좌우한다는 것이다.
 |
| ▲ 감기는 대개 리노바이러스 감염으로 인해 발생한다. |
감기는 대개 리노바이러스(Rhinovirus) 감염으로 인해 발생한다. 리노바이러스는 인후통, 콧물, 기침 등 전형적인 감기 증상을 유발한다. 천식이나 만성 폐쇄성 폐질환(COPD)과 같은 만성 폐 질환으로 인한 호흡 곤란 또한 리노바이러스가 원인인 경우가 많다. 리노바이러스 감염으로 인한 비염의 경우, 치료 속도를 높이는 효과적인 약물이나 백신은 거의 없다.
하지만 이러한 병원균이 코점막을 공격하면, 점막 내 세포들이 스스로 바이러스와 싸운다. 이들은 다양한 항바이러스 방어 메커니즘을 활성화시키고, 이 과정에서 긴밀하게 협력한다. 도대체 실제로 어떻게 이런 일이 일어나는 걸까? 리노바이러스 감염 시 세포 및 분자 수준에서 정확히 어떤 일이 발생하는 걸까?
비강 점막을 모방한 오가노이드*
*오가노이드: 장기유사체 또는 미니 장기로도 불리며, 줄기세포나 장기 기원 세포를 3차원 배양법으로 재조합해 만든 장기 특이적 세포 집합체. 자가 조직화가 가능해 일반적인 배양 세포보다 복잡한 장기를 모방할 수 있어 신약 개발, 인공 장기 및 질병 치료 등에 활용되고 있다)
예일대학교의 바오 왕(Bao Wang) 연구팀은 이 질문에 대한 답을 찾기 위해 연구를 진행했다. 비강 점막에 대한 자세한 이해를 얻기 위해, 연구팀은 먼저 실험실에서 인간 비강 조직으로 오가노이드를 배양했다. 이를 위해 코에서 채취한 줄기세포를 배양하고, 세포 표면이 공기에 노출되도록 4주간 배양했다.
이러한 조건에서 줄기세포는 인간 비강과 기도의 점막에서 흔히 발견되는 다양한 세포 유형으로 구성된 조직으로 분화했다. 여기에는 점액을 생성하는 세포와 폐에서 점액을 제거하는 섬모 세포 등이 포함된다. 하지만 실제 코와는 달리, 오가노이드에는 면역 세포가 존재하지 않았다.
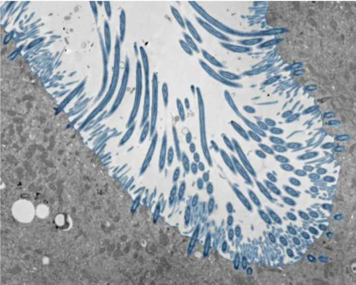
 |
| ▲ 이 전자 현미경 이미지는 오가노이드 내 인간 비강 상피 세포의 섬모를 파란색으로 보여준다. © Julien Amat & Bao Wang |
예일대학교의 수석 저자인 엘렌 폭스먼(Ellen Foxman)은 “이 장기모방 모델은 바이러스 연구에 일반적으로 사용되는 기존 세포주보다 인체의 리노바이러스 반응을 훨씬 더 정확하게 반영한다”고 설명했다. 연구팀은 이 장기모방체에서 수천 개의 세포를 동시에 조사했다. 다양한 리노바이러스에 조직을 노출시키고, 일부 실험에서는 바이러스를 인식하는 세포 센서를 차단했다. 그런 다음 5일 동안 세포에서 일어나는 변화를 관찰했다.
인터페론, 주변 세포 감염 방지왕 교수와 그의 동료들은 리노바이러스 감염에 대한 반응으로 비강 점막 세포가 인터페론을 생성한다는 사실을 발견했다. 이 신호 단백질은 바이러스가 주변의 건강한 세포로 침투하는 것을 막는다. 이 메커니즘은 감염을 억제하고 감염된 세포를 소수로 제한한다. 비강 세포의 최대 2%만이 감염되며, 감염은 1~2일 후에 사라졌다.
이 실험은 또한 비강 점막의 개별 세포들이 감염된 세포와 감염되지 않은 세포 간에 소통하며 이러한 항바이러스 방어 기전을 긴밀하게 조율한다는 것을 밝혀냈다. 그들의 목표는 가능한 한 가장 빠르고 포괄적인 인터페론 생성을 유도하는 것이었다. 건강한 세포를 신속하게 동원해야만 바이러스의 확산을 막을 수 있었다. 왕 박사는 "우리의 실험은 면역 세포가 없더라도 신속한 인터페론 반응이 리노바이러스 감염을 제어하는 데 얼마나 중요하고 효과적인지를 보여준다"고 말했다.
두 번째 방어선은 점액 생성을 촉발한다.첫 번째 방어선이 너무 느리거나 차단된 실험에서는 리노바이러스가 비강 세포에서 증식할 수 있었다. 그 결과 전체 세포의 30% 이상이 감염되었다. 이는 두 번째 방어 반응을 촉발했다. 감염된 세포와 감염되지 않은 세포 모두 과도한 양의 점액과 분비물을 생성하기 시작했다. 또한 인터루킨과 사이토카인을 포함한 다른 생화학적 전달 물질도 생성했다. 이러한 물질들은 면역 세포를 끌어당기고 활성화시켜 염증 반응을 유발했다.
 |
| ▲ 이 전자 현미경 이미지는 리노바이러스(파란색)를 분비하는 사람 비강 상피 세포를 보여준다. © Julien Amat & Bao Wang |
이러한 두 번째 방어선은 바이러스에 대한 방어력을 강화했다. 연구팀이 발견한 바와 같이, 이러한 조직적이고 시너지 효과를 내는 반응은 비강 세포 표면에 다양한 센서가 존재하기 때문에 가능했다. 이 센서들은 바이러스 자체의 구성 요소에 대한 수용체뿐만 아니라 감염된 비강 세포의 일반적인 대사 구성 요소에 대한 수용체도 가지고 있다.
면역 체계의 성공 여부가 감기 증상을 결정한다이번 연구 결과는 일부 감기 환자가 가벼운 증상만 보이거나 증상이 전혀 나타나지 않는 반면, 콧물, 천명, 심지어 심각한 호흡기 질환까지 동반하는 이유를 설명해 준다. 폭스만 박사는 "이번 연구는 바이러스 자체의 특성이 아니라 바이러스에 대한 신체의 반응이 감기 발병 여부와 질병의 심각도를 결정한다는 기존의 패러다임을 확장했다"고 말했다. 즉, 감염된 사람의 면역 상태가 질병의 경과를 결정하는 것이지 병원체 자체가 아니라는 것이다.
코점막의 세포 및 분자 메커니즘에 대한 지식은 이러한 리노바이러스 감염에 대한 새로운 치료제 개발에 도움이 될 수 있다. 이러한 약물은 코 세포의 정상적인 항바이러스 방어 반응을 촉진할 수 있다. 폭스만 박사는 "이는 새로운 치료법 개발을 위한 매우 흥미로운 분야다"고 말했다.
후속 연구에서는 환경적 요인이나 다른 바이러스의 동시 존재가 리노바이러스 감염 시 비강 및 기도 내 이러한 과정에 미치는 영향을 더욱 자세히 조사할 예정이다.
참고: Cell Press Blue, 2026; doi: 10.1016/j.ccell.2025.11.008
출처: Cell Press
[더사이언스플러스=문광주 기자]
[저작권자ⓒ the SCIENCE plus. 무단전재-재배포 금지]