4분 읽기
- 동맥경화는 심장마비와 뇌졸중의 흔한 원인 중 하나
- 콜레스테롤과 기타 혈중 지질이 혈관벽에 침착돼 만성 염증과 혈관 손상 유발하면서 발생
- 동맥경화증이 있는 쥐에게 4주 동안 매주 BiTE 용액 또는 비활성 생리식염수를 주입
- BiTE를 투여받은 쥐에서 대동맥 기저부의 변형된 근육 세포가 현저히 감소한 것을 확인
- 인공 항체 기반 면역요법이 동맥경화증에도 효과적 확
동맥경화: 위험한 플라크를 제거하는 항체
새로운 항체 면역 요법으로 완고한 혈관 막힘 해소
심장마비 예방:
새로운 항체 치료법이 심장마비와 뇌졸중 예방에 도움이 될 수 있다. 연구진은 "사이언스(Science)"지에 발표한 논문에서 이 치료법이 동맥경화로 동맥을 막는 혈관벽의 두꺼워진 부분을 특이적으로 표적해 분해한다고 밝혔다. 연구진이 개발한 인공 항체는 쥐 실험에서 위험한 플라크의 크기를 현저히 줄이고 혈관 염증을 감소시켰다. 기존의 동맥경화 치료제는 이러한 효과를 나타내지 못한다.
 |
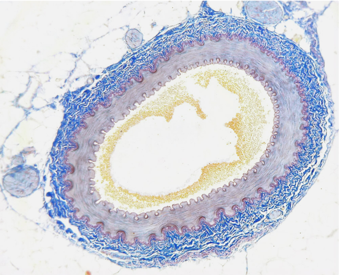
| ▲ 동맥의 단면도. 동맥경화증에서는 혈관 내벽이 침착물, 침윤된 혈관벽 세포 및 염증으로 인해 두꺼워진다. © Lord of Konrad / CC0 |
동맥경화는 심장마비와 뇌졸중의 가장 흔한 원인 중 하나다. 콜레스테롤과 기타 혈중 지질이 혈관벽에 침착돼 만성 염증과 혈관 손상을 유발하면서 발생한다. 이로 인해 동맥벽이 두꺼워지고 뻣뻣해질 뿐만 아니라, 동맥벽 세포에도 심각한 변화가 일어난다. 세포들이 분화를 잃고 동맥 내벽으로 이동하기 시작하는 것이다. 이렇게 변형된 평활근 세포는 플라크 형성에 기여한다.
하지만 문제는 변형된 근육 세포, 면역 세포, 지방으로 구성된 이러한 플라크가 일단 형성되면 제거하기가 어렵다는 것이다. 워싱턴 대학교 세인트루이스 캠퍼스의 수석 저자인 코리 라빈(Kory Lavine)은 "콜레스테롤 저하제는 주로 예방 차원에서 사용되며 이미 형성된 플라크를 크게 줄이지는 못한다"고 설명한다.
이러한 비정상적인 혈관 세포는 무엇이 특별한 것일까?따라서 라빈과 그의 연구팀은 동맥 내 변형된 근육 세포, 즉 기존의 플라크를 특이적으로 제거하는 치료법을 찾고자 했다. 첫 단계로 라빈과 제1 저자인 주네드 암루테(Junedt Amrute) 연구팀은 플라크 내 변형 세포의 특징을 분석했다. 이를 위해 27명의 환자 관상동맥에서 단일 세포 프로파일링을 수행하여 샘플 내 15만 개 이상의 세포 각각에서 활성화된 유전자와 단백질을 밝혀냈다.
그 결과, 혈관벽과 동맥경화성 플라크 내 모든 세포의 위치와 특징을 보여주는 세포 지도가 만들어졌다. 이 지도는 동맥경화반을 유발하는 혈관벽 세포가 세포 표면에 특정 단백질을 가지고 있음을 보여주었다. 이 섬유아세포 활성화 단백질은 병적으로 변형된 근육 세포에서만 발견되므로, 특징적인 식별 요소이자 잠재적인 치료 표적으로서 적합하다.
 |
| ▲ BiTE 항체는 한쪽 끝으로는 면역 체계의 T 세포에 결합하고, 다른 쪽 끝으로는 세포 표면의 특정 단백질, 즉 이 경우에는 암세포 표면에 결합할 수 있다. © Armin Kübelbeck/ CC-by-sa 3.0 |
두 부분으로 구성된 항체를 이용한 길항제다음 단계로, 연구팀은 이러한 병적으로 변형된 혈관벽 세포를 선택적으로 파괴하는 방법을 찾았다. 그들은 원래 암 치료를 위해 개발된 인공 항체에서 원하는 것을 발견했다. 이중특이성 T세포 활성화제(BiTE)로 알려진 이 분자는 두 개의 서로 다른 결합 부위를 가지고 있어, 병든 세포의 인식 표지자와 면역 체계의 T세포 사이를 연결하는 다리 역할을 한다.
"이러한 유형의 항체 치료법은 원래 림프종과 같은 암 치료를 위해 개발되었다"고 라빈은 설명했다. 동맥경화 치료를 위해 연구팀은 항체의 한쪽 끝을 변형된 혈관벽 세포의 섬유아세포 활성화 단백질에 결합하도록 변형했다. 다른 한쪽 끝은 결합 부위이자 T세포 활성화제로 작용한다. 라빈 연구팀은 이 항체 면역요법의 효능을 검증하기 위해 동맥경화증이 있는 쥐에게 4주 동안 매주 BiTE 용액 또는 비활성 생리식염수를 주입했다.
 |
| ▲ 치료받지 않은 쥐(위)와 BiTE 항체로 치료한 쥐의 동맥 내 플라크.
© Junedh Amrute |
동맥경화반 크기 감소 및 염증 완화항체 치료는 성공적이었다. 연구팀은 "BiTE를 투여받은 쥐에서 대동맥 기저부의 변형된 근육 세포가 현저히 감소한 것을 확인했다"고 보고했다. "대조군과 비교했을 때, BiTE 치료는 대동맥궁과 동맥 전체의 동맥경화반 크기를 줄였다." 동시에 항체는 두꺼워진 혈관벽을 안정화시켜 추가적인 파열과 흉터 형성을 방지했다.
라빈 연구팀은 이러한 결과가 인공 항체를 기반으로 한 면역요법이 동맥경화증에도 효과적임을 보여준다고 밝혔다. 이러한 면역요법은 혈중 콜레스테롤 수치는 낮지만, 관상동맥에 동맥경화반이 지속적으로 존재하는 환자들에게 특히 유용할 수 있다. 라빈 연구팀은 "진행성 동맥경화증 환자의 염증과 위험한 동맥경화반을 줄일 수 있는 면역요법은 매우 고무적인 전망"이라고 말했다.
연구팀은 이제 BiTE 분자를 더욱 최적화할 계획이다. 또한 혈관 내 위험한 플라크를 더 잘 감지할 수 있는 추적 분자를 개발했다. 이 새로운 영상 기술은 안정적인 플라크와 불안정한 플라크를 구분하여 심장마비 위험이 가장 높은 환자를 식별하는 데에도 도움이 될 수 있다.
참고: Science, 2026; doi: 10.1126/science.adx1736
출처: Washington University Medicine
[더사이언스플러스=문광주 기자]
[저작권자ⓒ the SCIENCE plus. 무단전재-재배포 금지]